
ACCOMPAGNEMENT ET PRESTATION DE SERVICES PATHOLOGIE DIGITALE ET ANALYSE D'IMAGES
Digilysis Conseil met son expertise à votre service pour vous accompagner dans la conception et la mise en œuvre de vos projets en pathologie digitale et analyse d’images.
Une offre personnalisée, pensée pour s'adapter à tous vos projets en pathologie digitale et analyse d'images.

Scanner de lames histologiques
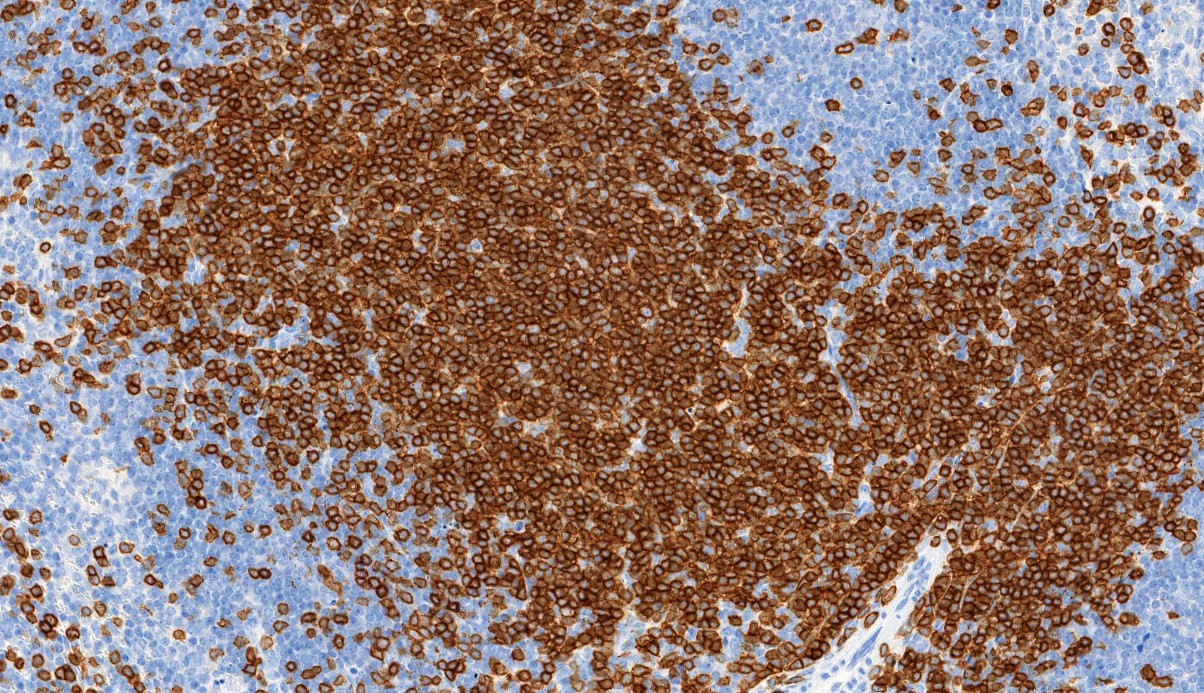
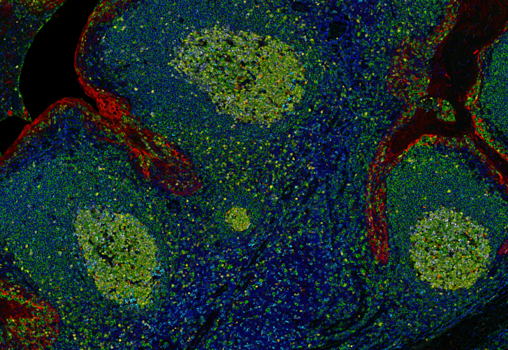
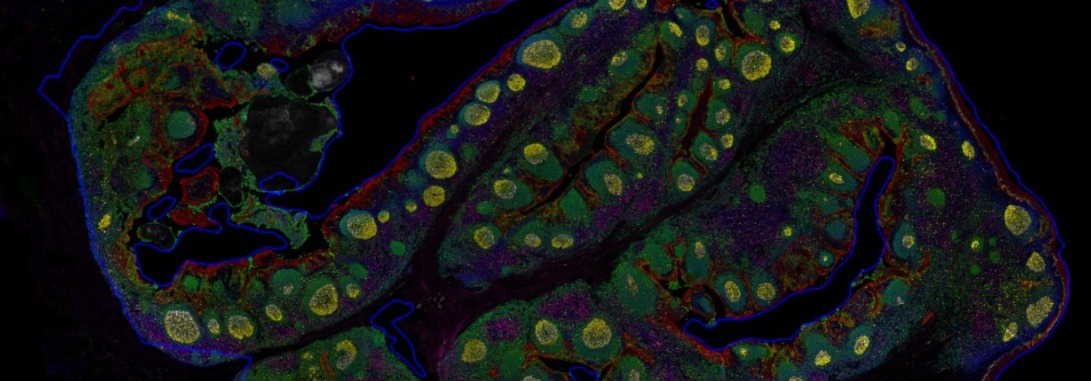
Plus de 15 ans sur les scanners en chromogénie et 7 ans en fluorescence

Analyse d'images cellulaire et tissulaire
Plus de 10 ans d'expériences sur des logiciels commerciaux.

